Service_

Digital diagnostic imaging services

Advanced imaging services for veterinary care and education
Our clinic offers a collaborative environment for veterinarians, researchers, and students to work alongside cutting-edge imaging technologies to advance veterinary care.

University Veterinary Teaching Hospital Sydney (UVTHS) is a fully digital Radiology Department comprising of the following services:

The benefits of Digital Imaging are numerous as the system allows easy imaging access to veterinarians, researchers and students. Clients are able to review pet’s images with their veterinarian during consultation, making the diagnosis and treatment process more efficient. A digital copy containing pet’s images and radiology reports can be made available to clinicians on request.

When visiting the UVTHS, please supply all relevant x-rays and reports of your pet. This will be entered to the UVTHS PACS systems, where a comprehensive database of patient’s record is created. This allows comparison of new studies with previous examinations and is accessible to clinicians at any subsequent visit.
 
Digital Radiology has proven to be a valuable learning tool for veterinary students. Having access to digital images means that students learn about diagnostic imaging procedures, compare clinical reports and cases and have access to the Radiology Teaching Database.

All imaging modalities are DICOM 3.0 compliant.

Veterinarian performing a CT on a dog for digital diagnostic imaging.

General x-ray and digital radiography

The UVTHS has two radiology suites for general diagnostic imaging service utilising the latest in Fuji CR technology.

General radiography

General radiology services include all routine diagnostic X-ray procedures plus Image Intensified Video-fluoroscopy for myelography, excretory urogram, retrograde vaginourethrogram and other real time procedures.

Digital radiography (DR)

DR technology has enabled the UVTHS to enhance standard X-ray images through the use of optimised radiographic algorithms. Studies have been further improved with the use of High Detail and High Speed cassettes depending upon the needs of examination. High detail bone imaging or fast chest radiographs are easily obtained with DR imaging.

Orthopaedic Templating for surgical planning is another advantage of digital radiology. Our surgeons can plan hip or knee pin surgery in advance of the actual procedure to insure the best patient’s outcome possible.

Digital radiography to enhance standard x-ray of an ibis wing.

Ibis wing

Digital radiography to enhance standard x-ray of a cat's abdomen.

Cat abdomen

Digital radiography to enhance standard x-ray diagnosis of feline asthma.

Cat asthma


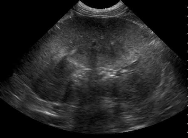
Ultrasound

The advantage of Ultrasound lies in its real-time imaging ability to evaluate heart function and vessel patency, plus provide valuable measurements of organ size and function. Ultrasound is the gold standard for imaging in the areas of cardiac, abdomen, pelvis and foetal studies.

Available examinations

  • Abdominal, cardiac and vascular studies performed using B-mode
  • Colour flow Doppler, pulsed wave Doppler and continuous wave Doppler
  • Harmonic imaging and contrast ultrasound

Ultrasound guided procedures

  • Fine needle aspirates and biopsies
  • Therapeutic or diagnostic abdominocentesis
  • Thoracocentesis or pericardiocentesis
Ultrasound depicting a pancreas.

Pancreas

Ultrasound depicting a canine kidney.

Dog kidney

Ultrasound depicting a bladder lesion.

Bladder lesion


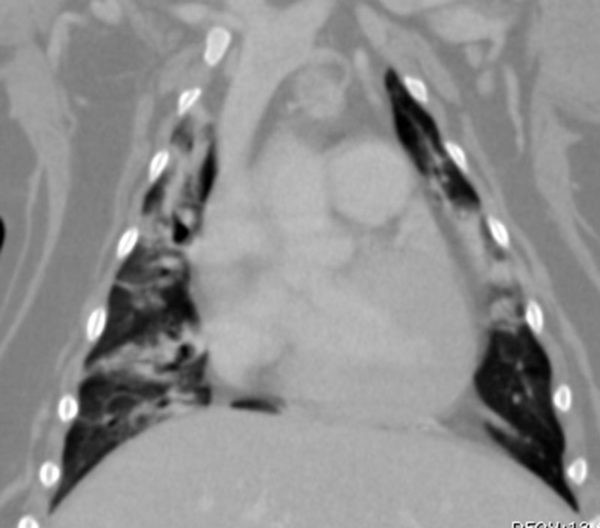
Computed tomography (CT)

CT imaging provides the UVTHS with high resolution cross sectional imaging of brain, spine, chest, abdominal and limb examinations.

CT imaging strength lies in its ability to image quickly for chest and abdominal studies so that images are not affected by the pet’s breathing. Exquisite bone detail is easily obtained for skull, sinuses, spine or limb studies.

The digital images can be rebuilt and viewed in a 3D volume movie providing additional information to veterinarians. The CT is a high end system used worldwide for both veterinary and human imaging.

Computed tomography or CT of a dog chest.

Dog chest

Computed tomography or CT of a dog nose.

Dog nose

Computed tomography or CT to created a 3D image of a dog pelvis.

3D dog pelvis


Magnetic resonance imaging (MRI)

MRI strength is seen in its ability to image soft tissues structures such as brain, eyes, pituitary gland, spinal cord, nerves, muscles, tendons and can differentiate normal tissue from tumours and various other disease processes.

MRI of the brain is often used to evaluate and define tumour types, infection, seizure disorders, strokes, hydrocephalus and other damage as a result of trauma. MRI of the spine is used for diagnoses of spinal cord tumours or syrinx, herniated disks, spinal cord compression and cord inflammation. Knee and hip MRI can be used to investigate tendon or ligament tears, bone or muscle tumours and inflammation.

The MRI 0.25 tesla open system is designed especially for small animals.

MRI image of a dog's brain.

Dog brain

MRI image of a dog's lumbosacral spine.

Dog lumbosacral spine

MRI image of a dog's left stifle.

Dog left stifle


Fluoroscopy

Fluoroscopic examinations are a specialty service offered to pets at UVTHS.

Fluoroscopy, utilising continuous x-rays akin to a movie, enables comprehensive studies such as assessing a collapsing trachea, conducting swallow studies, and supporting orthopedic surgeries.


 

Outpatient and CT and MRI imaging services

Does your pet need digital imaging?
Please contact your local veterinary service for referral or call UVTHS on (02) 9351 3437